
Image challenge .
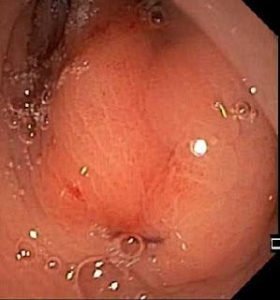
A 37-year-old female presented with a history of epigastric pain (6/10 )of 3 weeks duration. The pain was a burning type with no reference or radiation. She stated that for the previous 2 weeks her pain was aggravated by food intake. She denied any alarming symptoms in the form of loss of appetite and weight loss. There was no history of vomiting or melena. Her clinical examination was normal .The UGI endoscopy showed following lesion in the antral area .What is the likely diagnosis?

View in browser :The Health Guide
Follow The Health Guide :
Join the mailing List of The Health Guide
Join the mailing list!
Get the latest articles delivered right to your inbox!








