
Case of the month: Young man with first time seizures in life !
Clinical scenario: A 39 yr old male presented with history of generalised tonic clonic convulsions of 1 hour duration and was brought to Emergency room of our hospital.
There was no history of viral prodrome , offending drug intake . He had no past history of seizures .After initial brief history from relatives and relevant examination blood was extracted for labs and oxygen @ 4 Litres /min was started .An IV line with Dextrose 10% was started Patient’s seizures were controlled with 4 mg IV Lorazepam and later Phenytoin 20mg/kg loading was started in normal saline.
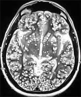
Evaluation: He had hemoglobin levels of 14.9gm/dl ,platelet count WBC count were normal . He had normal Liver and renal functions .CT scan head was done Fig1 it showed diffuse cysts in the brain suggestive of Neurocysticercosis and later the serology came positive for Neurocysticercosis.
![]() |
| Fig 1 CT scan head showing cysticercosis. |
Patient was started on Albendazole 800 mg /day in two divided doses for 2 weeks and oral antiepileptic drugs . He was discharged home with an advice for follow up .
![]() |
| Fig2 This is how parasitic cysts look in the brain autopsy |
Neurocysticercosis : Further reading click the Link
Join the mailing list!
Get the latest articles delivered right to your inbox!











