
Sudden onset deafness in an adult with normal ears.
Contributed by
Dr Parey Mohd Farooq.
MD,MRCEM,
Member of European society of Emergency Medicine ,
Emergency medicine specialist
at University Hospital Of Morecambe Bay NHS Trust ,
Lancaster United Kingdom
A 52 year Gentleman presented to his physician with bilateral otalgia ,tinnitus associated with subjective fever without any ear discharge . This was preceded by flu like symptoms which had resolved two days prior to the current presentation ,He was started on oral antibiotics with a clinical impression of Acute otitis media
However, two days later he developed unilateral hearing loss and vertigo , He seeked advice from his General practitioner who referred him to emergency department as Labyrinthitis . He was triaged in Ed and found to have facial palsy and labeled as Bells palsy for evaluation by emergency physician .
Chief complaints ,
Hearing loss of right ear,Vertigo and facial weakness .
Past medical history -Hypertension not complying to treatment , Heavy smoker
Vital signs : Pulse =78. BP=137/94. T=37.3. Spo2=98% on room air
Physical exam- Conscious,alert. ,GCS =15/15. ,No motor or sensory deficit
HINTS exam =Head impulse test no catch up saccade ,Nystagmus on primary gaze ,bidirectional with torsional component. Vertical skew ,
Sensorineural deafness on right side with positive right side cerebellar signs ,
There was lower motor neuron type of facial palsy on right side .
Ipsilateral Miosis, ptosis and anhidrosis noted ,
Rest of systemic exam was unremarkable
Lab results revealed leukocytosis – 15.2 predominantly neutrophils , CRP=85
Lipid profile revealed elevated cholesterol and triglycerides ,.
Coagulation profile ,,Renal & liver function tests and electrolytes. were within normal range.
CT head was reported unremarkable by radiologist on duty
Stroke team evaluated the patient and were of the opinion that its most likely an complicated otitis media with Labyrinthitis .
Ramsay hunt syndrome was also suspected ,It was advised to refer the patient to ENT for evaluation
However, the Emergency physician was not convinced with the decision of the stroke team so escalated it to neurology consultant on call & both came to the conclusion that its a classical presentation of Anterior inferior cerebellar territory infarction .
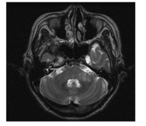
The patient was admitted under neurology and the subsequent MRI on next day reported cerebellar infarction in the territory of AICA . (Fig1)

The patient was started on antiplatelet therapy and statins , His ataxia resolved ,facial palsy improved but continued to have unilateral deafness

Teaching message : Acute unilateral deafness shouldn’t be labelled as idiopathic and should always be evaluated thoroughly especially in people with risk of atherosclerosis
–Non contrast head CT shouldn’t be used to rule out any brain infarction .
-Whenever and wherever there is a clinical suspicion ,the patient should be admitted for subsequent MRI accordingly
View in browser :The Health Guide
Join the mailing List of The Health Guide
Join the mailing list!
Get the latest articles delivered right to your inbox!





