
She was wrongly diagnosed as Migraine
Consultant Neurologist.
College of Medicine
Taif university KSA
Clinical scenario:
A 28-year old lady presented with severe headache of 3 days duration.
Her history of headache dated back to five years prior to current presentation .
The headache would occur every 4-5 months and she had been diagnosed as common migraine .She had been put on migraine prophylaxis.
On this occasion her headache was quite severe in intensity more so in occipital region and was of thunderclap nature . It was associated with nausea,vomiting but there was no history of fever .
She , however, complained of blurring of vision for the last 3 days .
On examination: The patient had an average built and her vitals were normal . Systemic examination was normal too.
Neurological examination :-
She was conscious oriented in time place and person.
Cranial nerves:
Pupils:equal and reactive with relative afferent pupillary defect(RAPD) more in left eye
Visual acuity: Right eye:20/25,Left eye:20/30.
Extraocular movements(EOMs): Normal eye movements in all directions.
Fundi: Bitemporal optic atrophy.(Figure 1)

Fig1 Bilateral optic atrophy

Fig 2 Visual field : Bilateral hemianopia

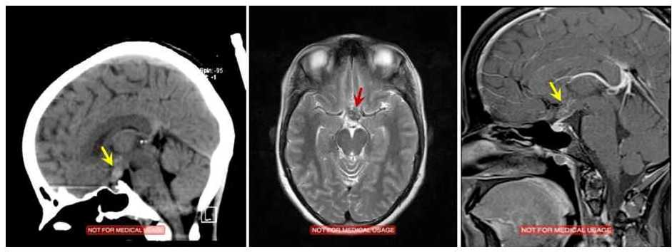
Fig. 3 Hypothalamus cavernoma Popcorn appearance yellow and red arrows .
Apart from above abnormalities her neurological examination was normal .
There were no meningeal signs.
Investigations :
Her Hemogram, ESR and tests on liver and kidney functions were normal .
Keeping in view visual field defects and optic atrophy and MRI MRV and MRA was done and she was diagnosed to have Hypothalamic cavernoma .
She was sent for Gamma knife surgery.
Teaching message:
Cavernous malformations are the least common vascular anomaly of central nervous system.It may be asymptomatic or cause various neurological deficits. Surgical intervention is recommended only if it is symptomatic. This case reminds us how serious diseases can masquerade in old complaints. Patients should never be profiled and chronic complaints should always be revisited.
Further reading:- Cavernous hemangioma brain
View in browser :The Health Guide
Join the mailing List of The Health Guide
Join the mailing list!
Get the latest articles delivered right to your inbox!









