A good clinical examination clinched the diagnosis.
Clinical scenario:
A 48 year old male was admitted for evaluation of Nephrotic range proteinuria and was planned for kidney biopsy in our hospital . One week before admission he was evalauted as an outpatient for his progessive edema feet , pitting type of 4 weeks duration .
Apart from eddema feet his clinical examination was normal .
On evalaution he had Hb of 12gm/dl , normal WBC and platelet counts .Tests on liver function were normal and kidney functions showed mild impairment (Urea 36gm/dl and creatinine levels were 1.4mg/dl .) A 24 hr urine collection showed nephrotic range proteinuria 5.9gm/24 hr collection .Patient was planned for kidney biopsy and was admitted in the hospital .
On the day of kidney biospy he suddenly developed fever .Temp of 38C was recorded .Kidney biospy was cancelled and spetic screen was sent .
Hemogram turned out to be normal .Blood culture, urine examination and urine culture were normal too. Malarial serology was negative .
Where from the fever came ?
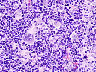
A careful clincial examination revelaed a small lymphonode in anterior cervial region .Excision biospy of the lymphnode was done which revelaed Hodgkins lymphoma Mixed cellularity type Fig1 .
Proteinuria proved to be paraneoplatic diseae and not the primary kidney disease .
Patient was started on chemotherapy and his proteinuria settled .Kidney biopy was cancelled for ever
![]() |
| Fig 1 Hodgkins Lymphoma Mixed cellularity type |
Teaching message : The patient was afebrile to begin with and his initial examination was normal but he developed lymphnode enlargement over a peroid of time .Careful clinical examination clinched the diagnosis . Clinical findings can change and we must alway examine the patient carefully before any procedure .
For further Reading click the Link: Nephrotic syndrome
Join the mailing list!
Get the latest articles delivered right to your inbox!










